

¿Quieres saber si Calificas? Agenda tu Evaluación Personalizada
Disfruta de hasta un 15% DCTO SOLO POR ESTE MES

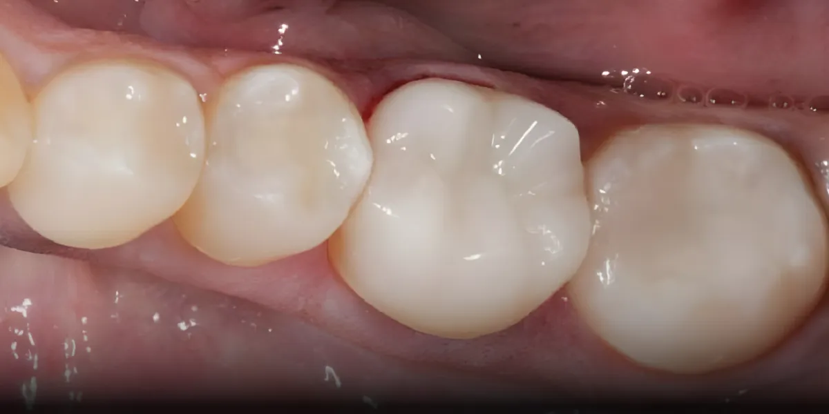
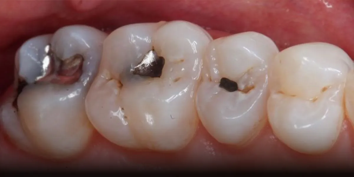
Salvamos tus dientes naturales
Conserva la mayor parte de tu diente natural, sin coronas ni tratamientos de conducto
Olvídate de tratamientos agresivos: la Biomimética protege tu estructura dental
Recupera tu sonrisa con resultados naturales, estéticos y duraderos

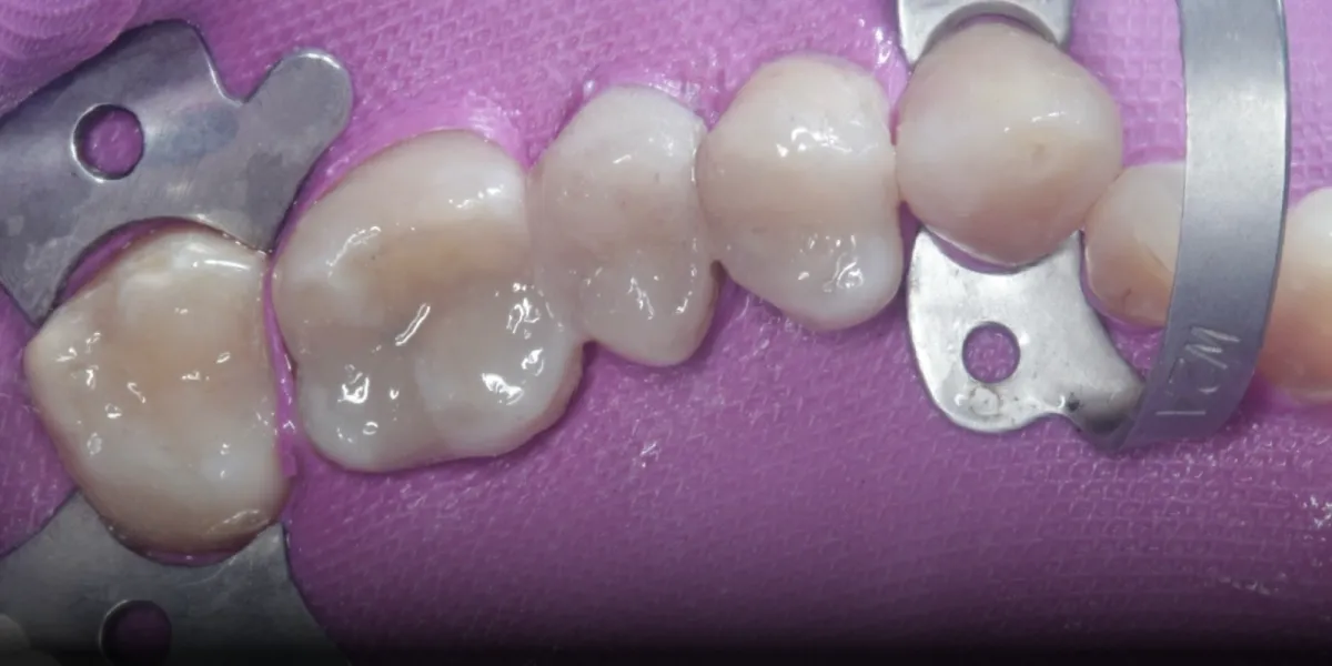
Tecnología de última generación
Utilizamos materiales biocompatibles y sin metales, que se integran de forma perfecta con tus dientes
Gracias al Fotocurado Valo Grand, logramos restauraciones más fuertes y precisas
Menos riesgo de fracturas, más años disfrutando de una sonrisa sana

Resultados garantizados
Realizamos un estudio digital completo en clínica, asegurando diagnósticos certeros y tratamientos a tu medida
Seguimos protocolos clínicos de alta precisión para garantizar resultados predecibles
En solo 2 a 3 sesiones puedes volver a sonreír con total confianza

Completa tus datos, para comenzar hoy tu camino hacia una sonrisa estética, funcional y duradera.
En Clínica Élan Dent, las Dras. Sofía y Alessandra Caiozzi Sahr, son especialistas en Rehabilitación con Biomimética.
Nuestro equipo se desempeña aplicando tratamientos que recuperan la estructura y estética dental, a través de procedimientos mínimamente invasivos y con insumos de última generación.
Nuestro enfoque único y compromiso con la calidad aseguran tratamientos personalizados y resultados duraderos. Estamos comprometidos en ayudarte a lograr una sonrisa que brille con confianza y comodidad.
Obtener una completa evaluación de tu boca, encías y hueso para descubrir exactamente el tratamiento que necesitas.
Conocer todos los detalles y etapas del tratamiento para que puedas planificarte adecuadamente.
Conseguir un presupuesto detallado del plan de tratamiento que necesitas para recuperar tu dentadura al 100%.
Horarios:
Lunes a Viernes: 09:00 a 20:00 hrs
Sábado: 11:00 a 17:00 hrs
Encuéntranos en:
Benavente 550, Of 303, Edificio Torre Campanario, Puerto Montt.
Políticas de Privacidad | Términos y Condiciones
© 2025. Todos los Derechos Reservados.
Take a look inside, see how it works and what's included.
